Skip to main content
Skip to main navigation menu
Skip to site footer
Open Menu
North American Journal of Medicine and Science
Current
Archives
About
About the Journal
Submissions
Editorial Team
Privacy Statement
Contact
Search
Register
Login
Home
/
Archives
/
Vol. 9 No. 3 (2016)
Vol. 9 No. 3 (2016)
Published:
2016-08-01
Original Research
Critical Ligand Binding Sequences of the Esr1 Gene: What Role in the Treatment of Er(+) Breast Cancers?
Wilfrido D. Mojica, MD, Paul Mojica, Don Sykes, PhD
PDF
Figure 1
A Comparative Study of Social Scene Parsing Strategies between Children with and without Autism Spectrum Disorder
Chen Song, Aosen Wang, Kathy Ralabate Doody, PhD, Michelle Hartley- McAndrew, MD, Jana Mertz, MBA, Feng Lin, PhD, Wenyao Xu, PhD
PDF
Review
Gut Microbiome and Autism: Recent Advances and Future Perspectives
Jun Liu, PhD, Mei Zhang, PhD, Xue-Jun Kong, MD
PDF
Empowering Immigrant Patients with Disabilities: Advocating and Self-Advocating
Chieh Li, EdD, Louis Kruger, PsyD, Kalyani Krishnan, MA
PDF
Clinical Implementation of Precision Medicine: Current Challenges and Future Perspectives
Xuejun Kong, MD, Ruoyu Wang, MD, Dewei Zhao, MD, Zhiqiang Wang, MD, Xiao Liu, MD, Yan Ding, MD, PhD
PDF
TEXT
Case Report
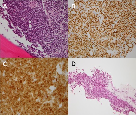
Chronic Lymphocytic Leukemia Transdifferentiates into Neuroendocrine Carcinoma: A Case Report of a New Phenomenon
Diana Diana Castro, MD, Liqun Zhang, MD, Subhadra Nandula, PhD, Jin Choe, MD, Donghong Cai, MD, PhD
PDF
Figure 1
Figure 2
Figure 3
Figure 4
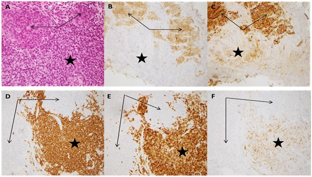
Metastatic Prostate Adenocarcinoma in Primary Lung Adenocarcinoma: An Unusual Case Report and Literature Review
Tieying Hou, MD, PhD, Jingxin Qiu, MD, PhD
PDF
Figure 1
Figure 2
Figure 3
Developed By
Open Journal Systems