Metastatic Prostate Adenocarcinoma in Primary Lung Adenocarcinoma: An Unusual Case Report and Literature Review

Authors

  • Tieying Hou, MD, PhD
  • Jingxin Qiu, MD, PhD

Keywords:

tumor-to-tumor metastasis, lung adenocarcinoma, prostate adenocarcinoma

Abstract

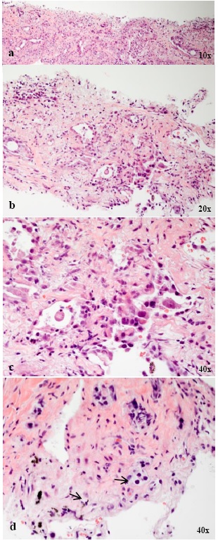
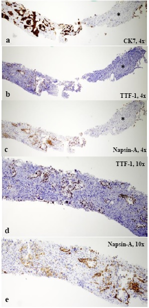
Tumor-to-tumor metastasis (TTM) is a rare condition in which one tumor metastasizes into another tumor. Based on the literature, the most common donor of TTM is lung and the most common recipient is kidney. Here we reported a rare case that has the metastatic prostate adenocarcinoma in primary lung adenocarcinoma. According to our knowledge, it is the first report in the English literature in the last 20 years. The patient is a 74-year-old male with the history of prostate cancer, which was treated by external beam radiation and androgen deprivation therapy. Nine years after treatment, he was found to have multiple metastatic bone lesions and androgen deprivation therapy was given again. Eleven years after initial diagnosis, the patient present with short of breath and CT showed a right upper lobe nodule and an enlarged right hilar lymph node. Both the lung nodule and the hilar lymph node were biopsied. The hilar lymph node was positive for metastatic prostate adenocarcinoma. Interestingly, the lung nodule showed two different histological components intermixed with each other. The majority of tumor cells formed glandular structure and were immunostained positive for CK7, TTP-1 and Napsin A, compatible with primary lung adenocarcinoma. Some individual and small cluster of cells were negative for the above markers, but highlighted by PSA, PSAP and racemase (AMACR/P504S) immunostain, which were consistent with metastatic prostate adenocarcinoma. The patient was scheduled to be treated with stereotactic body radiation therapy (SBRT), but he declined. His current condition is stable at the most recent follow-up.

[N A J Med Sci. 2016;9(3):127-131.   DOI:  10.7156/najms.2016.0903127]

References

1. Fried BM. Metastatic Inoculation of a Meningioma by Cancer Cells from a Bronchiogenic Carcinoma. Am J Pathol. 1930;6:47-52.1.
2. Aghi M, Kiehl TR, Brisman JL. Breast adenocarcinoma metastatic to epidural cervical spine meningioma: case report and review of the literature. J Neurooncol. 2005;75:149-155.
3. Petraki C, Vaslamatzis M, Argyrakos T, et al. Tumor to tumor metastasis: report of two cases and review of the literature. Int J Surg Pathol. 2003;11:127-135.
4. Sawada T, Takahashi H, Hasatani K, et al. Tumor-to-tumor metastasis: report of an autopsy case of lung adenocarcinoma metastasizing to renal cell carcinoma. Intern Med. 2009;48:1525-1529.
5. Richardson JF, Katayama I. Neoplasm to neoplasm metastasis. An acidophil adenoma harbouring metastatic carcinoma: a case report. Arch Pathol. 1971;91:135-139.
6. Sella A, Ro JY. Renal cell cancer: best recipient of tumor-to-tumor metastasis. Urology. 1987;30:35-38.
7. Moody P, Murtagh K, Piduru S, Brem S, Murtagh R, Rojiani AM. Tumor-to-tumor metastasis: pathology and neuroimaging considerations. Int J Clin Exp Pathol. 2012;5:367-373.
8. Schmitt HP. Metastases of malignant neoplasms to intracranial tumours: the "tumour-in-a-tumour" phenomenon. Virchows Arch A Pathol Anat Histopathol. 1984;405:155-160.
9. Roscoe KJ, Raja S, Tronic B, Dou Y. Single F-18 fluorodeoxyglucose positron emission tomography hypermetabolic focus containing metastatic papillary thyroid cancer within a primary scarring adenocarcinoma lung cancer. Clin Nucl Med. 2006;31:359-360.
10. Kim KM, Kim YN, Chu HH, Jin HY, Kim MH, Chung MJ. Papillary carcinoma of thyroid metastatic to adenocarcinoma in situ of lung: report of an unusual case. Korean J Pathol. 2012;46:282-286.
11. Xue L, Luan Z, Liu Y, et al. Pulmonary metastasis of a papillary thyroid carcinoma and primary lung adenocarcinoma: two coincident carcinomas at the same location. Diagn Pathol. 2013;8:26.
12. Lee T, Cha YJ, Ahn S, Han J, Shim YM. A Rare Case of Tumor-to-Tumor Metastasis of Thyroid Papillary Carcinoma within a Pulmonary Adenocarcinoma. J Pathol Transl Med. 2015;49:78-80.
13. Nonomura A MY, Shimizu J, Watanabe Y, Kamimura R, Takashima T. . Two patients with metastasis of cancer to other neoplasm: a thyroid carcinoma metastatic to a lung carcinoma and a gastric carcinoma metastatic to a thyroid adenoma. . Endocr Pathol. 1994;5:233-239.
14. Murthaiah P, Truskinovsky AM, Shah S, Dudek AZ. Collision tumor versus multiphenotypic differentiation: a case of carcinoma with features of colonic and lung primary tumors. Anticancer Res. 2009;29:1495-1497.
15. Blanco M, Garcia-Fontan E, Rios J, Rivo JE, Fernandez-Martin R, Canizares MA. Pulmonar collision tumor: metastatic adenoid cystic carcinoma and lung adenocarcinoma. Rev Port Pneumol. 2012;18:42-45.
16. Pelissier-Komorek A, El Alami-Thomas W, Lebrun D, Diebold MD. Metastasis of endometrial adenocarcinoma in a primary lung adenocarcinoma. Virchows Arch. 2012;461:717-719.
17. Campbell LV, Jr., Gilbert E, Chamberlain CR, Jr., Watne AL. Metastases of cancer to cancer. Cancer. 1968;22:635-643.
18. Ichijima K, Yamabe H, Kobashi Y, Iwata T. Metastasis of cancer to cancer. Acta Pathol Jpn. 1980;30:293-300.
19. Fidler IJ. The pathogenesis of cancer metastasis: the 'seed and soil' hypothesis revisited. Nat Rev Cancer. 2003;3:453-458.
20. Mazzaferri EL, Massoll N. Management of papillary and follicular (differentiated) thyroid cancer: new paradigms using recombinant human thyrotropin. Endocr Relat Cancer. 2002;9(4):227-247.
21. Bubendorf L, Schopfer A, Wagner U, et al. Metastatic patterns of prostate cancer: an autopsy study of 1,589 patients. Hum Pathol. 2000;31(5):578-583.
22. E Ross Mintz GGS. Autopsy findings in 100 cases of prostatic cancer. n engl j med. 1934(211):479-487.
23. Elkin M, Mueller HP. Metastases from cancer of the prostate; autopsy and roentgenological findings. Cancer. 1954;7(6):1246-1248.
24. Petras AF, Wollett FC. Metastatic prostatic pulmonary nodules with normal bone image. J Nucl Med. 1983;24(11):1026-1027.
25. Saitoh H, Hida M, Shimbo T, Nakamura K, Yamagata J, Satoh T. Metastatic patterns of prostatic cancer. Correlation between sites and number of organs involved. Cancer. 1984;54(12):3078-3084.

Published

2016-07-31

How to Cite

Hou, MD, PhD, T., & Qiu, MD, PhD, J. (2016). Metastatic Prostate Adenocarcinoma in Primary Lung Adenocarcinoma: An Unusual Case Report and Literature Review. North American Journal of Medicine and Science, 9(3). Retrieved from https://www.najms.com/index.php/najms/article/view/244

Issue

Section

Case Report